笑顔に、自信を。
短時間でも自然な白さを。
美しい歯に
なりたい
短時間で
白くしたい
選べるホワイトニング
オフィス:
30,000円(税込)
ホーム:
22,000円(税込)
デュアル:
60,000円(税込)

笑顔に、自信を。
短時間でも自然な白さを。
美しい歯に
なりたい
短時間で
白くしたい
選べるホワイトニング
オフィス:
30,000円(税込)
ホーム:
22,000円(税込)
デュアル:
60,000円(税込)

美しい歯に
なりたい
短時間で
白くしたい
選べるホワイトニング
オフィス:
30,000円(税込)
ホーム:
22,000円(税込)
デュアル:
60,000円(税込)


歯の白さは、見た目の印象を大きく左右する大切な要素です。
神保町ウィルデンタルオフィスでは、患者さまのお悩み・生活スタイル・理想の白さに合わせて、安心して受けられるホワイトニングをご提供しています。

ホワイトニングとは、歯の表面に専用の薬剤を塗布し、エナメル質に入り込んだ歯の変色汚れを分解・漂白して、歯本来の美しい白さを取り戻す施術です。
着色汚れは歯科医院でのクリーニングで落とせますが、歯本来の色を白くすることはできません。
健康的で白い歯を手に入れるには歯本来の色をより白くできるホワイトニングが理想です。
またホワイトニングには歯の漂白効果だけでなく、殺菌効果やフッ素の取り込み促進の効果もあり、実は虫歯対策にも効果を発揮します。
当院では患者様の生活スタイル、どのくらい白くしたいか、かける期間等をしっかりカウンセリングし、個々人にあったホワイトニングの方法を提案させていただきます。
歯を白くするには芸能人のように前歯をセラミック治療するのが流行っていますが、ホワイトニングはセラミックのようにご自身の歯を削ったりせず、より身体にやさしい治療であると言えます。
継続してホワイトニングを行い、より美しく輝く歯を手に入れましょう。

白く美しい歯は、周囲の人たちに好印象を与えるだけでなく、ご自身の自信にもつながります。
近年ネットでもホワイトニング用の機材が売っていたりしますが、歯科医院が提供するホワイトニング治療はやはりクオリティが高く、専門の歯科医師、衛生士のチェックを行ってから行うのでより理想的です。
ホワイトニングを行うことで、憧れの白い歯を手に入れることが可能です。お気軽にお問合せください。
24時間WEB受付中!1分で予約完了!
ホワイトニングには、オフィス(歯科医院)で行うオフィスホワイトニングと、ご自宅(ホーム)でマウスピースと薬剤を使用して行うホームホワイトニングがあります。
この両方を併用して行う施術が、デュアルホワイトニングです。
それぞれメリットとデメリットがありますので、以下をご参照ください。

オフィスホワイトニングは、歯の表面に専用の高濃度の(過酸化水素)薬剤を塗布し、光を当てて歯を白くする方法です。
一度の施術で白さを実感していただくことが可能ですが、じっくりと漂白するホームホワイトニングと比較して、白さを保つ期間が短いという点に注意が必要です。
白さの維持のために定期的に行ったり、より理想の白さを追求する場合、複数回の施術が必要になったりすることもあります。費用も高くなります。
| メリット |
|
|---|---|
| デメリット |
|


ホームホワイトニングは歯科医師の指導のもと、自宅で行うホワイトニングです。
まず歯科医院で型取りを行い、上下の歯のオーダーメイドのマウスピースを作製し、決められた工程でご自宅でホワイトニングを行っていただきます。
忙しくて歯科に通う時間が取れない方や歯科医院に通わず、もっと気軽に美しい歯を手に入れたいという方にお勧めです。
継続的に行うということが大事になってきます。
| メリット |
|
|---|---|
| デメリット |
|

オフィスホワイトニングとホームホワイトニングを組み合わせた方法です。両方の良いとこ取りをするもので、短い期間で歯を白くし、効果を長く持続させることが可能です。
オフィスホワイトニングを1度行うことで、歯はある程度白くなりますが、この白さの持続力を強化するために、ご自宅でホームホワイトニングを行っていきます。2回以上オフィスホワイトニングを行うことで、より高い効果が期待できます。
より白い歯を手に入れたい方にはこの方法が最も適しています。
| メリット |
|
|---|---|
| デメリット |
|
ホワイトニングの注意事項・副作用
1
歯の色見本(シェード)を確認し、現在の歯の白さを確認していただきます
2
口腔内の確認をし、必要性に応じて歯の表面のクリーニングを行います
3
歯肉に薬剤が付着しないようジェルで保護します
4
歯の表面に高濃度薬剤を塗布します
5
専用のライトで照射し、薬剤を歯に浸透させます
6
照射を終え、歯肉の保護を取り、お口をゆすぎブラッシングします
7
シェードで歯の白さを確認します
8
アフターケアについてご案内します
※STEP4~6を2~3回繰り返します
診察を含めると1回の所要時間は約1時間です。
2回以上行うことで、より高い効果が期待できます。
1
現在の歯の色を確認し、歯の表面をクリーニングします
2
歯型をとって専用のマウスピースを作製します
3
完成したマウストレーとホワイトニングジェル(低濃度薬剤)をお持ち帰りいただきます
4
ご自宅でホワイトニングする前には、丁寧にブラッシングを行っていただきます
5
低濃度薬剤を入れたマウスピースを1日に2時間装着します。装着時には薬剤が行き渡っていることを確認してください
6
ホワイトニング効果の経過を確認するため、指示された日にご来院ください
2週間程度ホームホワイトニングを続けることで、理想的な歯の白さに近づけることが可能です。
その後も定期的に継続することで歯の白さを保つことができます。
歯科医院で行うデュアルホワイトニングの処置は、1回につき60~90分程度かかります。
治療期間はもともとの歯の色や状態にもよりますが、1~3ヶ月程度です。
24時間WEB受付中!1分で予約完了!


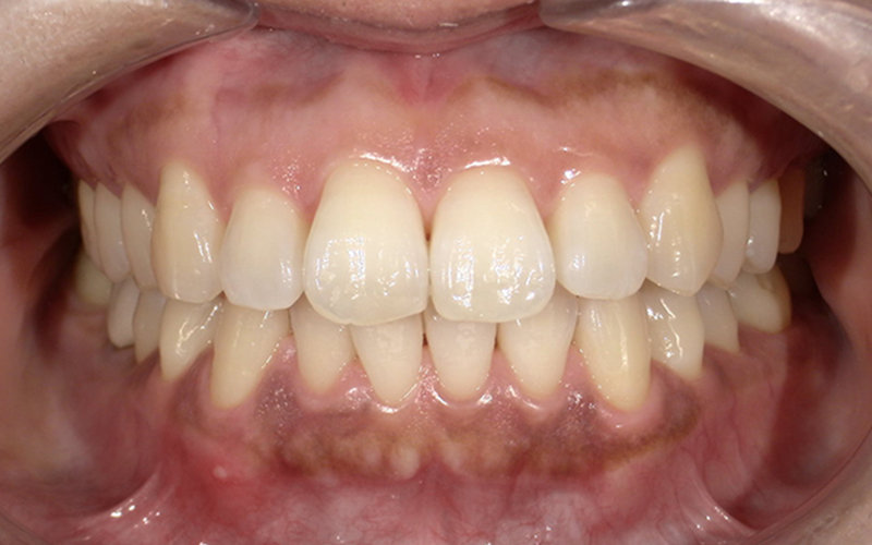
| 主訴 | 歯の黄ばみが気になる |
|---|---|
| 施術内容 | オフィスホワイトニング |
| 治療回数 | 1回 |
| 費用 | 30,000円(税込) |
| 想定されるリスク・副作用 |
|


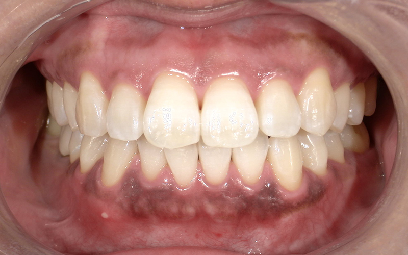
| 主訴 | 歯を白くしたい |
|---|---|
| 施術内容 | デュアルホワイトニング/前歯上10本、下10本 |
| 治療期間 | 1.5ヶ月 |
| 治療回数 | オフィスホワイトニング2回+ホームホワイトニング(薬液トレー) |
| 費用 | 60,000円(税込) |
| 想定されるリスク・副作用 |
|

個人差はありますが、1回の施術でも白さを実感される方が多く、デュアルホワイトニングではより高い効果が期待できます。
まれに「知覚過敏」が出る場合がありますが、通常は一時的です。
オフィス単体より、ホームやデュアルの方が白さが長持ちします。
生活習慣によっても変わるため、数ヶ月〜1年ごとのメンテナンスがおすすめです。
はい、ございます。
ホワイトニング後24時間は、歯に着色しやすい飲食物はお控えください。
例:カレー、醤油系の食事、コーヒー、紅茶、赤ワイン など
また、施術後は一時的に歯の表面がデリケートな状態になるため、酸性の飲食物も控えることをおすすめしています。
例:フルーツ、炭酸飲料 など
できるだけ白っぽい色の飲食物をお選びください。
例:うどん、パスタ(クリーム系・塩系)、豆腐、白身魚、牛乳 など
結論からすると、勧められません。
実際に悪影響の症例はありませんが、胎児への健康被害のリスク、妊娠中は口腔内の病気のリスクが高まるからです。
24時間WEB受付中!1分で予約完了!